[吐舌]有一种虫子,外号“接吻虫”,它总喜欢挑人的脸颊或嘴唇下口,像是在偷偷献吻,然而这个“吻”的代价,却是每年在全球范围内夺走超过一万人的生命。
它能在你体内潜伏数十年,悄无声息地侵蚀器官,最终致命。
它是如何产生的?这种新型疾病会流传过来吗?
本文陈述所有内容皆有可靠信息来源赘述在文章内
无声的杀手潜伏记
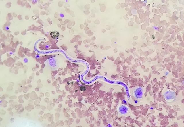
夜深人静时,“接吻虫”——锥蝽,会循着你呼吸的二氧化碳找到你的脸,它叮咬你,但真正致命的不是这个动作,它会在伤口附近排泄,粪便里藏着一种叫克氏锥虫的微小寄生虫,当你无意识地抓挠被叮咬处时,就亲手将这个“恶魔”送进了自己的身体。
就连博物学巨匠达尔文,在南美考察的日记里也曾记录过被这种虫子叮咬的经历,当时他并未意识到这背后潜藏的风险。
寄生虫进入人体后,并不会立刻兴风作浪,急性期的症状极其轻微,可能只是一点类似流感的疲惫和低烧,甚至很多人根本毫无感觉,这给了它完美的伪装,让受害者完全意识不到自己已被感染。
然后,是一段漫长得令人难以置信的“和平共处”,这种寄生虫可以在人体内潜伏数十年之久,在这几十年的沉寂里,它像一个完美的间谍,悄无声息地侵蚀着你的身体,而你,可能早已忘记了那个遥远的、被小虫叮咬的夏夜。
当身体的警报最终拉响时,一切都太晚了,患者往往是在出现严重的心脏问题,或是肠道发生病变(例如巨结肠)时才被确诊,此刻,病根早已深植,对身体的破坏已不可逆转,在南美洲的一些地区,它造成的死亡人数甚至超过了臭名昭著的疟疾。
甩锅给移民就完事了?
当这样一种看似遥远的疾病开始在美国本土蔓延时,一个荒诞的说法又出现了:这都是拉美移民带来的,这种说法迅速成为攻击移民政策的政治工具,将一个复杂的公共卫生问题,简化成了一个寻找“替罪羊”的游戏。
然而,事实却狠狠地打了脸,这种将疾病标签化为“外来病”的做法,恰恰导致对本土风险的致命忽视,其实,美国南部广袤的土地,以其温暖湿润的气候,早就为“接吻虫”提供了理想的家园。
本土的锥蝽种群一直存在,零星的本土感染病例也并非新闻,真正的传播主力,并非来自外部输入,而恰恰是这片土地上早已存在的“火种”。
这种认知上的错误,让整个防疫体系变得被动和滞后,直到疫情已经扩散到多达32个州,美国疾控中心(CDC)才终于发布官方通报,承认其扩散的趋势。
可悲的是,那些被当作替罪羊的移民群体,本身也是最脆弱的受害者,他们往往居住在更容易被虫子叮咬的环境里,却又最难获得及时的医疗救助。
这种根深蒂固的“热带病只属于热带”的刻板印象,让美国社会在很长一段时间里都抱着“这病与我们无关”的心态,从而错失了早期控制的黄金机会。
治不好是没钱不是没招
更具讽刺意味的是,应对恰加斯病,在技术上其实并不复杂,急性期可以通过血液涂片或PCR检测发现,慢性期也能通过检测血液抗体来确诊,治疗也并非无药可医,一种名为苯并咪唑的药物就相当有效,而且价格并不算昂贵。
然而直到现在仍然没有针对恰加斯病的有效疫苗,这不是因为科学做不到,而是因为制药公司觉得“无利可图”,这种疾病的主要流行区是经济相对落后的拉美国家,患者群体支付能力有限,无法为药企的巨额研发投入提供可观的市场回报。
资本的流向清晰地揭示了背后的经济逻辑:药企们更愿意将资源投入到利润丰厚的癌症药物或富裕国家常见的慢性病药物上,相比之下,这种“穷人病”的疫苗研发,自然就被搁置了。
这种逐利性不仅影响了疫苗研发,也削弱了公共卫生系统的应对能力,美国强大的医疗体系,向来更擅长应对来势汹汹的急症,对于这种潜伏期漫长、需要长期追踪的慢性传染病,则显得力不从心。
近年来,美国公共卫生系统本就因预算削减而能力下降,新冠疫情更是挤占了大量资源,让基层医疗机构雪上加霜,当一个疾病的“生死”被市场价值所决定时,即便诊断不难、药价不贵,也无法阻止它彻底根治,最终,这种忽视让所有人都暴露在了风险之下。
寄生虫不会因为国界线而停下脚步,但人类社会的偏见、经济的壁垒和美国医疗体系的不作为,却会实实在在地为它们敞开大门。
虽然目前我国还没有官方报告的病例,但这绝不意味着可以高枕无忧,在全球化时代,频繁的人员与货物往来,随时可能将病原体或传播媒介带入国境,更关键的是,中国南方如云南、广西等地的气候条件,与疫区颇为相似,为锥蝽提供了潜在的生存环境。
我们最大的短板,我们医生的教科书中对这种疾病描述不多,临床认知度普遍偏低,这极易导致误诊和漏诊,因此,未雨绸缪至关重要。
加强海关检疫,对来自疫区的人员进行健康监测,向公众普及相关防护知识,都是必须立刻行动起来的,小编也提醒大家,注意卫生安全,不要总往人堆里扎,在家也要定期消毒,清洁,不要心存侥幸!
信息来源:
友情提示
本站部分转载文章,皆来自互联网,仅供参考及分享,并不用于任何商业用途;版权归原作者所有,如涉及作品内容、版权和其他问题,请与本网联系,我们将在第一时间删除内容!
联系邮箱:1042463605@qq.com