马先生,35岁,最近因身体不适前往医院就诊。经过一系列的检查和问诊,医生诊断他患有肺结节。所幸,这些结节属于微小结节,医生建议暂时不需要特别治疗,只需定期进行观察。马先生接受了一些相关的医嘱后回家了。

在家中,马先生向母亲讲述了自己的情况。母亲担忧地建议他最近减少海鲜摄入,因为她认为海鲜是“发物”,可能会使结节变大。马先生对此感到困惑,因为他之前为了减少碳水化合物的摄入,常用虾来替代其他食物,因此开始怀疑是不是虾导致了肺结节。
查出肺结节能吃海鲜吗?
对于肺结节,很多人都存在一些误解。肺结节在医学上是一个影像学术语,用于描述肺部出现的结节状影像,它并不直接代表某种具体疾病。肺结节的形成原因多种多样,包括感染性因素如真菌、寄生虫、结核、脓肿,以及非感染性因素如类风湿性关节炎、血管炎等。

关于饮食,确实有观点认为某些“发物”可能会刺激结节恶化,但是对于虾这种食物,实际情况又是怎样呢?虾是一种营养丰富且味道鲜美的食材,含有丰富的甘氨酸,有助于降低血液中的胆红素浓度及甘油三酯和胆固醇,有益心血管健康。然而,虾的嘌呤含量较高,患有高尿酸或痛风的人应限制摄入。
对于肺结节患者而言,适量食用虾是安全的,但应优选烹饪方式如清蒸或水煮,避免油炸或油焖,因为高油脂的食物可能影响肺部的血液循环。

至于其他海鲜,因其蛋白质、钙、铁、锌等营养成分丰富,适量食用可以帮助提升免疫力,不会对肺结节造成刺激,因此患者可以放心食用。
总之,对于肺结节患者来说,适量食用虾和其他海鲜是可以的,关键在于选择健康的烹饪方法并控制适当的食用量。
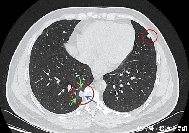
查出肺结节,离肺癌有多远?
对于许多人来说,肺结石或肺结节的概念仍然比较模糊。在影像学中,肺结节是指通过胸片或CT检查在肺部发现的直径小于3cm的阴影,这些阴影可以是单个的,也可以是多个的。

首先,需要明确的是,并非肺部所有的包块都称为肺结节。它们根据大小不同,有不同的分类:
肺微小结节:直径小于5mm。
肺小结节:直径在5mm到10mm之间。
肺结节:直径在10mm到30mm之间。
肺肿块:直径大于30mm。
肺结节的形成原因多种多样,包括吸入粉尘后粉尘与肺组织发生反应,导致肺部“受伤”形成结节,或由于外伤导致的肺部瘢痕也可能形成结节。此外,某些肺部疾病如肺炎或肺结核的康复过程中,也可能在肺部留下结节。大多数肺结节是良性的,如上述所提及的这些情况。

然而,肺结节也可能是肺癌的早期表现,这就增加了识别和诊断的复杂性。尽管如此,大约80%-90%的肺结节仍然是良性的。然而,在考虑结节性质时,年龄较大、结节直径较大、存在多种高危因素的个体,其结节恶变的风险更高。
在CT等影像检查中,如果发现有毛刺征、棘突征、胸膜凹陷征、血管集束征、引流线征等改变,这些都是结节可能恶化的信号,需要及时进行更深入的检查和确诊。在各类结节中,混合磨玻璃结节的恶变几率最高,其次是磨玻璃结节和实性结节。
那查出肺结节,应该怎么办?

如果结节的恶性风险较低,建议在初次发现后3至6个月进行一次复查,通常使用胸部低剂量螺旋CT进行检查。如果这次复查结果显示无异常变化,可以延长检查间隔至9至12个月。如果连续的复查结果仍然显示无异常,那么后续可以每年进行一次常规的体检随诊。
对于那些显示出恶性倾向较高的肺结节,需要及时采取治疗措施。这可能包括抗感染治疗以排除或治疗任何可能的感染因素,进行组织活检以确定结节的性质,以及必要时进行手术切除。在这种情况下,患者应在医生的指导下进行更密集的监测和治疗,确保及时发现并处理可能的健康问题。
3种食物或刺激结节,要少吃
如果查出有肺结节,虽然饮食并不能直接治愈或消除结节,但合理调整饮食可以帮助增强身体的整体健康和免疫力,同时避免某些可能加重病情或影响身体恢复的食物。以下是一些应当限制或避免的食物类型:

加工肉类和红肉:
研究表明,过多摄入加工肉类(如香肠、熏肉、火腿)和大量红肉(如牛肉、羊肉)与增加某些类型癌症的风险相关。应限制这类食品的摄入,选择瘦肉如鸡肉或鱼肉,并尽量选择烹饪方式健康的肉类。
高脂食品:
高脂肪的食物如油炸食品、含有大量黄油或奶油的食品可能导致体内炎症增加,增加癌症风险。建议使用健康的脂肪来源,如橄榄油、鱼油和坚果。

酒精:
酒精消耗可以损害肝脏功能,影响身体从其他毒素中恢复。尤其是在肺部健康受损的情况下,避免酒精尤为重要。
总之,维持均衡的饮食,富含全谷物、新鲜果蔬、健康脂肪和适量的优质蛋白质,是支持身体健康和抵抗疾病的关键。
友情提示
本站部分转载文章,皆来自互联网,仅供参考及分享,并不用于任何商业用途;版权归原作者所有,如涉及作品内容、版权和其他问题,请与本网联系,我们将在第一时间删除内容!
联系邮箱:1042463605@qq.com